Методы борьбы с собачьими блохами
Блохи являются неприятными паразитами для животных и людей, поэтому бороться с ними стоит после обнаружения на собаке. Пока их немного – не будут кусаться, наносить вред, но не стоит забывать, что насекомые быстро размножаются, поэтому не стоит медлить с выведением.
Для этого потребуется сделать раствор из пищевой соды, соли, инсектицидного шампуня. Стоит применить инсектицид – аэрозоль, порошок или раствор.
При обработке стоит соблюдать действия:
- пропылесосьте квартиру, мебель, ковры;
- вещи стоит постирать или отдать в химчистку, особенно те, на которых могут обитать насекомые;
- собачья подстилка должна быть обработана, а лучше ее выкинуть;
- предметы обихода питомца нужно обработать;
- проведите влажную уборку в доме. Для этого требуется использовать раствор – пачка соли или соды на 10 литров воды;
- при обработке закройте окна, отодвиньте мебель, промойте труднодоступные места – плинтусы, щели, углы, подоконники, стенки мебели, ковры и другие поверхности;
- насыпьте или распылите инсектицид в квартире;
- уйдите из помещения на несколько часов, за это время паразиты должны погибнуть;
- после обработки квартиру требуется проветрить и провести уборку;
- через 7-10 дней стоит выполнить повторную обработку.
Как не допустить появления блох в доме
Каждый должен помнить, какую опасность представляют насекомые, он должен приложить усилия для предотвращения их появления. Паразиты могут привести к возникновению инфекционных заболеваний, многие из которых могут стать угрозой для жизни.
Обычно обнаруживаются на собаке, поэтому важно выполнять своевременные обработки животных. Для этого можно применять инсектицидные шампуни, спреи, антиблошиный ошейник для собак:
Для этого можно применять инсектицидные шампуни, спреи, антиблошиный ошейник для собак:
- Фитоэлита. Препарат, имеющий в основе травы. Активное вещество – перметрин. Вызывает усиленное уничтожение кровососов;
- Доктор ZOO. Является натуральным средством с содержанием эфирных масел. Его можно использовать для щенков в возрасте от 2 месяцев;
- Барс (АВЗ). Хорошее средство для купания. Активное действие шампуня связано с эфирными маслами, которые имеются в составе;
- Bruno – лечебно-профилактический препарат от эктопаразитов;
- Импортный шампунь с природными маслами. Можно применять для щенков старше 2 месяцев;
- Капли с комплексным действием от американского производителя. В составе имеется селамектин;
- БлохНэт Max. Линейка отечественных инсектицидных капель с отпугивающим, барьерным и уничтожающим действием;
- Ошейник с антиблошиным действием. В основе идет пропоксур и флуметрин;
- Rolf Club 3D. Ошейник, имеющий комбинированное действие. В составе имеются пирипроксифен, фипронил, D-пифенотрин.
Не стоит забывать про уборку помещения. Обязательно нужно раз в неделю обрабатывать специальными средствами, промывать поверхности раствором из соли, соды. Это снизит вероятность появления паразитов.
Методы борьбы с собачьими блохами
Чтобы вывести собачьих блох в квартире, дезинсекцию помещений проводят синхронно с обработкой домашних питомцев. Взрослые блохи обитают на теле животных, а незрелые стадии на полу, поэтому неполный комплекс мер по уничтожению даст только частичный результат, которого недостаточно.
Обработка животных
Ветеринарными компаниями разработаны разные средства защиты животных от блох. К ним относятся собачий шампунь, капли от блох, спреи, противоблошиные ошейники. Применяют также народные средства, например, уксусные ванны и эфирные масла.

Кроме того от блох спасают препараты внутреннего применения – таблетки (например «Комфортис», «Capstar») и инъекции. У каждого средства свои преимущества и недостатки. Чтобы подобрать подходящий вариант, проконсультируйтесь с ветеринаром.
Как избавиться от собачьих блох в доме
- Для начала заделайте щели и трещины в полу, чтобы лишить убежищ личиночные стадии.
- Принадлежности животного, а также обивку мягкой мебели, на которой питомец спит, обработайте горячим паром при помощи пароочистителя.
- Покрывала и постельное белье постирайте в горячей воде.
- Обработайте пол контактным инсектицидом длительного действия.
- Ежедневно пылесосьте ковры и мягкую мебель – пылесос постепенно уничтожает яйца, личинки и куколки блох.
Помните, что популяция блох в доме не выводится мгновенно. Успех зависит от планомерных прилежных стараний.
Как кусают блохи
Ротовой аппарат паразита хорошо приспособлен для питания кровью. Блохи находят жертву по запаху: при дыхании человек или животное выделяют углекислый газ, который и чуют вредители. После попадания на тело, блошка начинает активно сосать кровь. Она не маскирует свое присутствие и не впрыскивает в кровь «обезболивающее». Именно поэтому животные страдают от зуда. Блохи не имеют длинного хоботка, поэтому с головой погружаются в ранку.
Если паразит добирается до человека, он обычно вгрызается в ноги. В случае скопления блох, они расползаются по всему телу. После пяти укусов насекомое покидает носителя.

Блохи, в отличие от клещей, не перемещаются по телу в поисках открытых участков. Их обоняние подскажет, когда жертва окажется на расстоянии прыжка.
Человек может подхватить «кровососов», гуляя по высокой траве в открытой одежде, или, контактируя с домашними животными, которые часто бывают на улице.
Также в группу риска входят люди, проживающие на первом этаже. Положение усугубляет наличие под квартирой подвала или воздушной подушки. Блохи заражают жилище, проникая в него сквозь повреждения и трещины. Не стоит забывать и о крысах, носителях блох: они обожают «гнездиться» в вентиляционных шахтах.
Ответы на популярные вопросы
По этой причине у многих могут возникать некоторые вопросы по этому поводу, а знание ответов на них сможет помочь выявить паразитов, предотвратить неприятные последствия.
Каковы признаки появления блох у человека
Блохи жить на человеке не могут, но могут кусать.
При этом на теле обнаруживаются признаки:
- покраснения;
- высыпания;
- чувство зуда;
- со временем место укуса может начать сильно чесаться;
- при сильном расчесывании образуется рана, в которую можно занести инфекцию.
Как выглядят собачьи блохи
Кровососы обладают характеристиками:
- обладают маленькими размерами, длина тела составляет всего 2-4 мм;
- хитиновый покров у них имеет много щетинок, которые прочно удерживают насекомое на поверхности;
- высоко и далеко прыгают. Насекомые перепрыгивают на расстояние, которое превышает в три раза их зону видимости –18 см;
- ротовой аппарат отлично приспособлен к коже собак, но при нехватке пищи, могут обитать блохи на людях и кошках.
А их укус является опасным, поскольку он вызывает неприятные ощущения, чувство зуда и покраснения, а со слюной попадают инфекционные болезни, которые могут привести к смертельному исходу. По этой причине нужно знать признаки их появления, меры борьбы с ними.
Где наибольший риск «подхватить» блоху?
На самом деле человек может встретиться с этим неприятным насекомым где только угодно. Это может быть его собственный дом, дом соседей, парк, куда он пошел с семьей на пикник и так далее.
И все же чаще всего человек встречается с ними все-таки в доме, где обитают животные. Кроме того, они не обязательно должны быть домашними – блох также переносят крысы, мыши и дворовые животные. Даже птицы могут быть носителями этого паразита. Если верить статистике, то 3/4 всех домашних животных носили на своем теле блох.
Отзыв
Я не слишком много внимания уделяю своим домашним животным. Однако в последнее время прямо в собственном доме меня начали кусать какие-то насекомые. Поймав одного такого кровопийцу, стало понятно, что это блохи. Удивление было не слишком большим, так как животные никогда не носили специальных ошейников. После обследования у ветеринара нам стало известно, что это даже не собачьи, а кошачьи блохи. Тогда мне стало известно, что блохи не слишком разбираются в том, кого им кусать.
Как правило, человека кусают в тех местах, где зараженное блохами животное отдыхает и чистит шерсть. Это может быть его будка, подстилка или просто ковер, где блохи любят прятаться, когда откладывают личинки и прячутся до следующей трапезы.
Собачьи блохи, которые кусают человека реже всего, нападают, когда тот проходит рядом с собачьей будкой. Так уж сложилось, что самки насекомых любят откладывать свои яйца именно там, после чего становятся чудовищно голодными и нападают на любого, кто пройдет рядом.
Также вы скорее всего встретите этих неприятных насекомых-кровопийц в следующих местах:
- убежища диких животных (норы, дупла и гнезда), возле которых постоянно проходят охотники и работники лесничеств;
- фермерские хозяйства постоянно кишат различными видами блох, даже несмотря на то, что с ними постоянно борются;
- поскольку блохи кишат на грызунах, которые живут на лугах в парках, сев рядом с норой на пикнике, люди становятся их жертвами.
Отзыв
Своего супруга я никогда не пускаю домой после охоты, пока тот не отнесет свои вещи в химчистку. Раньше уже допускала подобные ошибки, после чего блохи кусали целую ночь. Как оказалось, они в большом количестве обитают на лисах и в их норах. Когда охотник приближается к норе они тут же забираются в одежду и сумки, таким образом, попадая прямо к нам домой.
Не менее часто службы дезинсекции принимают звонки от жителей старых домов, построенных еще при Советском Союзе. В темных подвалах, где обитают бездомные животные блохи живут годами, где размножаются, превращаясь в огромные колонии. Когда наступают холода блохи перебираются из подвала в квартиры и начинают кусать всех, кто перейдет им дорогу.
Таким образом, блохе совершенно неважно, какое теплокровное животное ему кусать. Человек, собака, крыса или кошка – под ударом этих маленьких кровопийц находятся все
Интересно
Крайне часто блохи обитают в одежде, а потому ей следует особенно уделить внимание после контакта с животными. Почувствовав неприятные укусы, одежду срочно следует поддать обработке, не давая кровопийцам размножаться
Какую опасность для человека несут блохи: риск заразится серьезным заболеванием
Сами укусы, пускай они даже вызывают дискомфорт и зуд не опасны для человека. Большую опасность несут болезни, которые могут передаться человеку в результате укуса.
Нередки случаи, когда укус блохи становится путем передачи тифа, энцефалита или же бруцеллеза.
Интересно
Многие, наверняка, слышали, что в средневековье, крысы и блохи стали причиной «черной смерти» – эпидемии чумы, которая унесла, как минимум, треть населения Западной Европы. Из-за антисанитарии крысы были распространенным явлением и обитали практически в каждом помещении, что и стало причиной такому размаху эпидемии. Если верить статистическим данным, эпидемия «черной смерти» стала самой смертоносной эпидемией в истории человечества.
Многие даже не подозревают, что чума никуда не делась. Она по-прежнему передается через укусы блох, которые обитают на грызунах. Правда сейчас она легко лечится с помощью антибиотиков.
Могут ли кусать?
Блохи – это облигатные паразиты. Это значит они живут и питаются только за счёт своего носителя. Именно поэтому, едва попав на тело человека, блоха тут же попробует прокусить его кожу, чтобы получить питательную кровь.
Правда – пребывают они на теле «двуногого» недолго. В среднем, блоха делает 3-4 укуса, после умирает или переселяется на другого, более «пушистого» носителя.

Справка! У животных более тонкая кожа, чем у людей, что значительно облегчает им доступ к питательным веществам. Кроме того, густой шерстяной покров позволяет им прятаться и размножаться.
Чаще всего блохи кусают руки и ноги, но если паразитов слишком много, то область укусов может быть гораздо обширнее.
В отличие от комаров и клещей, блохи никак не «маскируют» своё присутствие на теле, и не выпускают под кожу обезболивающих веществ. Укус ощущается как неглубокий, но довольно болезненный укол, после которого остаётся красная, зудящая точка.
Так как хоботок у блохи довольно короткий для высасывания человеческой крови, насекомое зачастую забирается под кожу с головой, тем самым расширяя ранку и делая её более болезненной.
Занимательный факт, но, чтобы получить блошиный укус, совсем необязательно иметь домашнего любимца. Чтобы на ваших руках или ногах появились характерные красные отметины, достаточно лишь погладить уличного кота или собаку.
Если вы живёте в частном доме или на первом этаже многоквартирного комплекса, то блохи могут пробраться с подвала или чердака.
Степень опасности собачьих блох для человека зависит от множества факторов. К примеру, аллергия на блошиные укусы выражается следующим образом:
- зуд;
- дерматит;
- обострение хронических заболеваний;
- повышение температуры тела, жар, лихорадка;
- бруцеллёз, и как следствие – поражение внутренних органов.
Если животное было заражено эндопаразитами, блоха перенесёт и их во время укуса. Это могут быть:
- глисты;
- ленточные черви.

В редких случаях блошиный укус может повлечь за собой развитие таких опасных заболеваний как:
- энцефалит;
- язва;
- тиф;
- чума.
Как не заразиться?
Если ваши животные безостановочно чешутся, а вы сами ощущаете непонятное покалывание на ногах и руках, которое учащается в ночное время суток – высока вероятность того, что в вашем жилище поселились блохи.
Обнаружить их порой не так уж просто. Это можно сделать стандартным способом, во время расчёсывания любимца, а можно провести простой тест на наличие блох.

Постелите на пол большую белую простынь, выключите в помещении свет и покиньте комнату на один час. Если по возвращении вы обнаружили на полотне чёрные «пятна», которые начинают разбегаться после включения света – значит, настало время бороться с паразитами.
Современный рынок ветеринарных препаратов предлагает множество средств: спреи, гели, ошейники, шампуни. Выберите одно из них, посоветовавшись с ветеринаром.
Что же касается мер предосторожности, то не стоит забывать о следующих правилах:
- Осматривайте шерсть своего питомца после прогулки – паразитов можно заметить на загривке, шее и на лапах. При обнаружении блох – немедленно искупайте его с антипаразитарным шампунем и обработайте спреем.
- Регулярно проверяйте мебель и принадлежности своего любимца – лежанку, коврик, плюшевые игрушки. Стирайте по мере загрязнения и обрабатывайте спреем.
- Если собака живёт на улице – каждый год в начале весны обрабатывайте будку.
- Перед тем как выпустить собаку на улицу – наденьте на неё антиблошиный ошейник. Его запах отпугнёт бо́льшую часть опасных паразитов. При желании его можно заменить специальными каплями на загривок.
- Даже если только одно животное ходит на улицу – все ваши четвероногие домочадцы должны быть обработаны от паразитов.
Справка! Сосновые опилки – это отличная набивка для собачьей подстилки в будку. Специфический запах дерева отпугивает паразитов от животного.
Блохи у собак – основная информация
Нужно знать, как выглядят блохи, откуда они появляются и какую опасность представляют для животных.
Как выглядят собачьи блохи
Внешний вид насекомых мало чем отличается от остальных блох – крысиных, кроличьих, кошачьих. Разницу можно заметить только с помощью сильного микроскопа.

Блохи на собаке.
Собачья блоха имеет скрученную голову и 6 щетинок вместо 8 на задних лапках. Туловище плоское, без крыльев, в результате чего насекомое перемещается крайне быстро.
Благодаря прочному хитиновому панцирю паразит защищен от любого механического воздействия.
С помощью длинных задних лап насекомое совершает прыжки до 50 см, поэтому поймать его непросто. Размер блохи – 2-3 мм, цвет глянцевый темно-коричневый или черный.
У насекомого узкоспециализированный ротовой аппарат, которым оно прокалывает кожу и высасывает кровь. Отличаются такие насекомые стремительным размножением, причем самка откладывает яйца за плинтусами, в щелях или коврах.
Откуда появляются
Питомец может заразиться блохами следующим образом:
- при близком общении с больным животным;
- во время прогулки в густом лесу, на специализированных площадках, во дворе дома, т. к. насекомые могут жить в опавшей листве, траве, на голой земле;
- в результате проникновения блох в квартиру через открытую дверь, на подошвах обуви или одежде.

Блохи могут поселиться даже на чистой, ухоженной собаке домашнего проживания.
Кроме того, собака может подхватить блох, если вываляется в падали. В этот момент насекомые с умершего животного начинают активно перемещаться на здорового пса.
Как узнать, что собаку беспокоят блохи
Определить, что у собаки завелись блохи, можно по следующим симптомам:
- начинается преждевременная линька;
- появляется облысение некоторых участков тела;
- на шерсти питомца, мебели, коврах появляется большое количество белых крупинок (личинки и яйца);
- кожный покров покрывается розовыми и красными пятнами и высыпаниями, которые сильно зудят и чешутся;
- в шерсти обнаруживаются темные крупинки, которые являются экскрементами вредителей.

При появлении блох собака чешется. Кроме того, могут привести к слезящимся глазам, повышению температуры тела, потускнению шерсти, расстройству кишечника, сильной потере веса, появлению глистов в экскрементах.
При этом животное начинает беспокоиться без повода, поскуливать, становится агрессивным и раздражительным, у него снижается или полностью пропадает аппетит.
Если появились такие признаки, необходимо осмотреть собаку. Чаще всего блохи локализуются около сгибов конечностей, в паху, на шее, в ушных раковинах и за ними. Если животное сильно заражено вредителями, может развиться аллергическая реакция на укусы.
На туловище появляется дополнительная сыпь, которая сильно чешется. Попавшая в раны инфекция провоцирует выпадение шерсти.
Чем опасны кровососущие паразиты
Блохи вызывают сильный зуд, заставляющий животное постоянно чесаться и нарушающий психику. В результате расчесывания появляются многочисленные ранки, которые с трудом заживают.
Насекомые могут переносить паразитов и инфекции.
Они способны привести к развитию следующих заболеваний:
- сальмонеллез;
- дипилидиоз;
- глистная инвазия;
- туберкулез;
- брюшной тиф;
- острая анемия;
- бруцеллез;
- энцефалит;
- сибирская язва;
- чума.
Иногда при выгрызании блох собака может случайно проглотить вредителя. В результате желудок и кишечник начинают заселяться цепнями. Некоторые виды способны вырастать до 50 см, нарушая пищеварительный процесс. Животное погибает от истощения. Кроме того, иммунитет месячного щенка настолько слабый, что питомец может заболеть гельминтозом даже от фермента слюны вредителя.
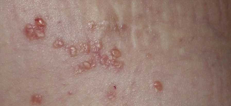
Как выглядят укусы кошачьих блох
Блошиные укусы различаются по интенсивности в зависимости от организма человека и степени сенсибилизации. Сенсибилизация – это рост чувствительности организма к воздействию раздражителей, вызывающее аллергию. Как правило, реакция на укусы насекомых протекает по 5 стадиям сенсибилизации, которые соответствуют кратности предыдущих укусов.
5 стадий сенсибилизации
- В отсутствии предыдущих контактов с паразитами сенсибилизации не возникает. В этом случае реакция на укус не проявится.
- Последующие укусы вызывают отсроченную или позднюю реакцию через 24 часа.
- С увеличением кратности укусов возникают, как немедленные, так и поздние реакции.
- Продолжающиеся укусы блох на коже человека уменьшают интенсивность поздней реакции. В конце концов, появляются только немедленные реакции.
- Со временем, при увеличении кратности укусов, в организме человека достигается полная десенсибилизация – появляется иммунитет на укусы насекомых.
У маленьких детей низкий уровень сенсибилизации, и, как следствие, укусы блох у детей вызывают более выраженные отсроченные реакции, чем у взрослых. Достижение полного иммунитета у взрослых и у детей встречается редко, поскольку второй этап длится как минимум 1,5 года.

Немедленные реакции
Крапивница
В течение 5-30 минут укусы на теле вызывают крапивницу. Крапивница – это участки, возвышающиеся над поверхностью кожи, обрамленные ореолом покраснения. Покраснения кожи возникают из-за расширения поверхностных сосудов. Участки крапивница имеют неправильную форму, но четко очерченные границы. В диаметре участки крапивница составляют 2-10 мм. Крапивница быстро исчезает без особых симптомов раздражения.
Следы укусов
Блохи приспособлены к прокалыванию кожи, не оставляя при этом повреждений. Кровоизлияние на месте укуса незначительное или вовсе отсутствует. Укусы на теле человека не оставляют следы, если насекомое не попало в сосуд. Следы укуса, представленные красными точечками под названием геморрагической след, исчезают в течение 3-4 дней.
Отложенные реакции кожи
Папулы
Если человека покусали блохи, то отложенные реакции развиваются спустя 12-24 часа после укуса. К таким реакциям относятся, например, папулы. Папула или узелок представляет собой бесполостное образование, возвышающееся над уровнем кожи. Папулы сопровождаются участками покраснения кожи вокруг образования. По диаметру папула 1-3 мм, а покраснения достигают 20 мм. В редких случаях внутри папулы образуется везикула или пузырек. Также в середине папулы цвет кожа иногда становится черным, свидетельствуя о некрозе – гибели участка кожи. Папулы исчезают уже на третий день, но в редких случаях сохраняются до года.
Блошиные укусы часто появляются в кластерах из трех укусов диаметром до 3-4 сантиметров. Укусы расположены в линию или треугольником. Такой кластер носит шутливое название «завтрак, обед и ужин».
Пузырьки (везикулы)
Укусы блох редко вызывают пузырьки на коже. Однако в нетипичных случаях отсроченные реакции появляются в виде везикулы. Изначально жидкость накапливается под кожей в множественных пузырьках, а через 2-3 дня везикулы растут и объединяются в большой пузырек, называемый булла. Вокруг везикулы кожа краснеет. По ходу заживления кожа темнеет, и везикулы исчезают.

Вторичные инфекции
Укусы блох иногда сильно зудят и, как следствие, вызывают желание расчесывать. Расчесывание повреждает кожу и создает условия для попадания бактерий, что нередко и происходит. Инфицированные места укусов заполняются гноем, и формируются фликтерны.
Фликтерна – пузырь, окруженный участком покрасневшей кожи, внутри которого содержится серозные или гнойные выделения. При обширном повреждении кожи возникают абсцессы.

Как понять, что домашние коты или собаки заражены вшами?
Прежде всего, важно тщательно осмотреть животное. Вши расположены ближе к эпителию и не будут быстро скрываться из виду, в отличие от блох
Кроме того, внимание необходимо обратить на яйца паразитов. Гниды прочно закрепляются на шерсти и их довольно тяжело удалить даже сдиранием ногтями
Признаками к волнению должны стать следующие симптомы:
- Сильный зуд у кота или собаки;
- Выпадение шерсти;
- Дерматит;
- Шерстяной покров становится чрезмерно сухим.
Преимущественно, вши любят обитать у основания хвоста, на шее или голове домашнего животного, поэтому внимание следует уделить именно таким местам. Паразиты размножаются с молниеносной скоростью и если вовремя не начать лечение, но ваш любимец начнет лысеть и придется проводить полную стрижку
Особенно такой фактор негативен для пород в длинным и густым шерстяным покровом.
Если животное начало вести себя крайне подозрительно, то не поленитесь провести полный осмотр, который займет буквально несколько минут. Выявить педикулез получится практически сразу, если вы внимательно изучили информацию про вшей
Обращайте внимание на экскременты насекомого, похожие на черные точки. Основным сигналом к тревоге будет появление большого количества гнид
В подобных ситуациях вши уже хорошо обжились на вашем домашнем питомце и продолжают размножаться.






























